Ohana Dental NJ

6 veneer replacement

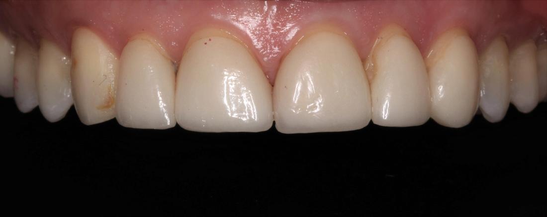
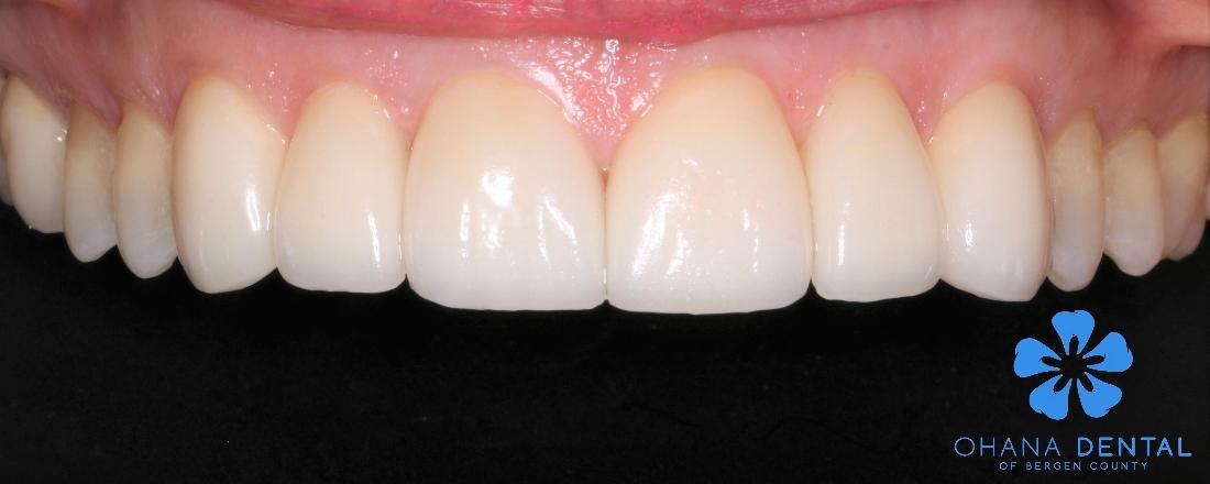
Over time, old porcelain veneers can lose their luster and break down over time causing staining and harmful affects to the underlying tooth and gums.  We swapped out the old with new beautifully contoured veneers and look at her smile now!  From dull and lifeless to a youthful, bright, and vibrant smile!

Improve your smile today – call to schedule a consultation!
If you have difficulty using our website, please email us or call us at (201) 444-5675
View the ADA Accessibility Statement
Privacy Policy