Ohana Dental NJ

ICON white spot removal

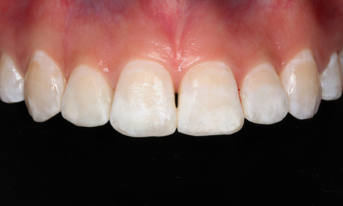
Oh the dreaded white spots!  

White spots on the teeth are due to the breakdown of enamel commonly seen in those who have had braces.  Until recently the only solution was to drill the tooth and place veneer or bondings.  We now have a much more conservative way to treat white spots WITHOUT drilling and without anesthesia (novocaine).  ICON is a resin that fills and reinforces broken down enamel in quick a 30 minute visit!  Depending on the severity, more than one session may be needed to achieve desired results.  

Below is the results from just one visit.  

Have Questions? Get in Touch
If you have difficulty using our website, please email us or call us at (201) 444-5675
View the ADA Accessibility Statement